突發休克命懸一線 土城長庚醫療團隊72小時接力搶命成功
(記者陳志仁/新北報導)46歲的陳小姐日前返家途中突感頭暈、意識不穩而摔倒,送抵土城長庚醫院時已陷入休克;檢查發現大量心包積血並高度懷疑升主動脈剝離,醫療團隊在關鍵72小時內完成多次手術,成功將患者從生死關頭拉回。

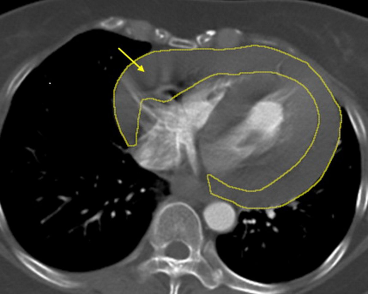
土城長庚醫院胸腔及心臟血管外科主治醫師鄭元熙表示,心包積血是指血液在短時間內大量累積於心臟外層,造成心臟受壓,無法正常舒張與跳動,血壓會迅速下降,甚至在數分鐘內引發心跳停止,屬於典型的立即致命急症;而升主動脈是全身最粗大的血管,一旦剝離或破裂,出血速度極快,死亡率極高,臨床上不乏患者尚未送醫即發生致命後果。
陳小姐回憶,自己長期有反覆頭暈情形,過去曾因頭暈騎車摔倒,但症狀短暫而未進一步就醫;此次休克後,影像檢查確認為大量心包積血,醫療團隊第一時間成立跨科搶救小組,由心臟外科緊急執行「劍突下心包開窗術」,迅速解除心臟壓迫、穩定循環,隨後由血管外科無縫接軌完成高難度的「升主動脈置換術」,以人工血管重建破裂血管。
整體手術歷時甚長,期間醫療團隊全程與時間競速,並在術後陸續完成止血、調整及胸骨固定等關鍵的處置;術後由加護病房醫療團隊嚴密監測病況,並在復健團隊循序的協助下,進行心肺功能的訓練,恢復情形良好,最終順利康復出院。
鄭元熙提醒,心包積血與主動脈剝離往往來得又急又快,初期甚至沒有明顯的預兆,卻可能在短時間內奪命,若有高血壓、動脈硬化或心血管疾病家族史,應定期追蹤檢查並控制風險;一旦出現突發性劇烈胸痛、背痛、腹痛,或頭暈、暈厥等非典型症狀,切勿輕忽,務必立即就醫,把握黃金搶救時機。
